カテゴリー:
審美治療
デジタルプランニングによる前歯部補綴治療
-

Before
-

After
症例情報
| 症状 | 前歯の見た目を自然に、美しく整えたい |
|---|---|
| 年齢・性別 | 30代・女性 |
| 治療期間 | 約5ヶ月(計8回の来院) |
| 治療方法 | デジタルプランニングによる前歯部補綴治療 顔貌写真や口腔内スキャンデータを元に、デジタル上でシミュレーションを行い、理想的な形態を可視化し、補綴物を製作・装着 |
| 費用 | 780,000円(税込 858,000円) |
| メリット | ・顔全体との調和を考慮した自然な仕上がりが可能 ・患者様と事前に完成イメージを共有できるため安心感が高い |
| デメリット・注意点 | ・製作に一定の期間を要する ・自費診療のため保険適用外 |
症例紹介
-

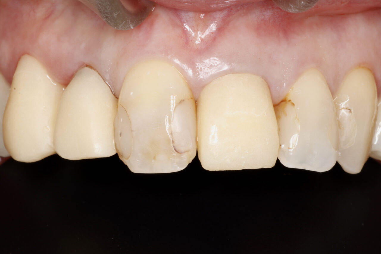
術前
前歯の補綴物に経年劣化や色調の不調和が見られ、見た目の違和感が気になる状態です。
-

デンタルプランニング
治療前に、患者さまのお顔立ちや笑顔との調和を重視したデジタルプランニングを実施しました。
口元の写真と口腔内スキャンデータをもとに、最終的な補綴物の形態・バランスをシミュレーションし、患者さまと仕上がりのイメージを事前に共有。
これにより、見た目の自然さだけでなく、患者さま自身の納得感と安心感を持って治療に臨める環境を整えることができました。 -

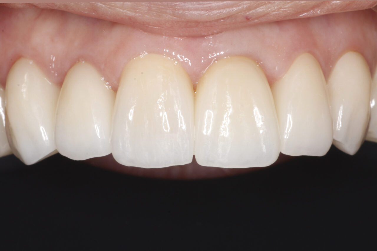
術後
デジタル設計に基づき、補綴物(セラミックラミネートベニア+ジルコニアセラミッククラウン)を精密に製作・装着しました。
色調・形態・歯肉との調和が改善され、周囲の歯とも自然になじんだ、違和感のないお口元に仕上がっています。
審美性だけでなく、機能性・快適性にも配慮した前歯部補綴の好例といえる症例です。


