当院の予約について
- 只今多くの患者様にご来院頂いておりますので、現在のご予約は、矯正相談・インプラント相談・審美治療・歯周病治療のみとさせていただいております。申し訳ございませんが、何卒宜しくお願いいたします。
※現状初診受付は矯正相談、インプラント相談、審美治療のみ。
※歯周病治療は平日の受付のみとなっております。
包括的歯科治療とは
単に歯の問題を個別に診るだけでなく、お口全体を一つの臓器と捉え、
各種の専門的な治療法を組み合わせて根本からの解決を目指す治療です。
患部だけでなく、全体の健康状態を考慮し、総合的な治療を通じて将来的なリスクも軽減します。
お口の健康を守り、質の高い生活を支えるための治療をご提供いたします。



歯周病・口腔
インプラント専門医による
「森を診て木を診る」歯科医療
歯科の病態は多様性があり、原因もさまざまです。当院では、患者さん一個人単位、歯列などの一口腔単位、そして歯一本単位の視点から、問題点を評価し、過不足のない治療、例えて言えば「森を診て木を診る歯科医療」を大切にしています。歯周病・口腔インプラント専門医の立場から、様々な手法を取り入れた包括的な治療に取り組んでまいります。
初めての方へ-
PERIODONTAL 歯周病治療
歯周病とは、プラーク(歯垢)中の細菌が歯肉に炎症を引き起こし、進行すると歯周組織(歯を支える骨など)を破壊してしまう病気です。成人の約80%が歯周病にかかっていると言われ、歯を失う大きな原因となっています。歯周病は自覚症状がないことが多く、受診された時にはすでに手遅れといった場合もあります。全身疾患(糖尿病、心臓病、呼吸器疾患など)にも影響がありますので、早めの治療と治療後のメインテナンスが大切です。
MORE -
ORTHODONTICS マウスピース矯正
成人してから行う歯列矯正は、審美面の改善と咬み合わせの改善が主な目的です。咬み合わせには、よい咬み合わせ(正常咬合)と、悪い咬み合わせ(不正咬合)があります。不正咬合を改善して、歯並びをよくすることで、歯ブラシが届きにくかった箇所まで歯磨きができるようになるため、むし歯や歯周病の予防に繋がります。当院では永久歯列の矯正をマウスピース型装置を用いて矯正を行っています。
MORE -
IMPLANT インプラント
インプラントとは虫歯や歯周病で歯を失った場合、その両側を削りブリッジにするか、取り外しの入れ歯を入れるのが一般的な方法です。インプラントは失ってしまった自分の歯のかわりに、人工の歯根を顎の骨に埋め込み、その上に人工の歯を作製して噛み合わせを回復する治療法です。当院では欠損があるからインプラントという考えではなく、まずは天然の歯を大切にし、できるだけ自分の歯を残す治療に取り組んでいきたいと考えております。
MORE
GUARANTEE 自費料金の保証について
CASE 症例紹介
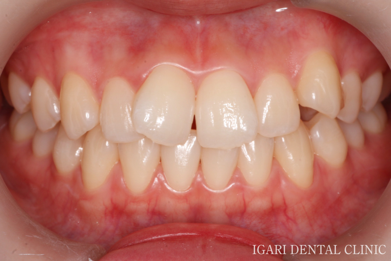
前歯の曲がりと重なりが気になる
上の前歯の曲がりや重なりが気になり、ご相談に来院された患者さんです。
当院では、形状記憶アライナー(グラフィーアライナー)を用いたマウスピース矯正で治療を行いました。
| 症状 | 前歯の曲がりと重なりが気になる |
|---|---|
| 年齢・性別 | 17歳・女性 |
| 治療方法 | マウスピース型矯正装置(形状記憶アライナー)による矯正治療 |
| 治療期間 | 約10か月 |
| 費用 | 840,000円(税込924,000円) ※別途、精密検査料・調整料がかかります。 |
| メリット | ・透明で目立ちにくい。 ・取り外しができ、歯みがきがしやすく衛生的に保ちやすい。 ・症例によっては、アタッチメントを使用しない(または少ない)治療が可能な場合がある。 ・デジタル診断・計画に基づき治療を進められる。 |
| 備考 | ・1日20〜22時間の装着が必要です(装着時間が不足すると、計画どおりに進みにくくなることがあります)。 ・原則として1週間ごとに新しい装置に交換します。 ・歯ぎしり・噛みしめが強い場合など、装置が欠けたり割れたりすることがあります。 |
INFORMATION 医院情報
- 休診日
- 午後休診
- 午後の診療は15:30〜
- ●休診日
- ●午後休診
- ●午後の診療は15:30〜
-
院名
医療法人社団彩清会 いがり歯科医院
-
住所
〒973-8403 福島県いわき市内郷綴町榎下55-1
-
アクセス
常磐線「内郷駅」から徒歩1分
-
駐車場
9台
-
Tel
0246-45-4618
| 診療受付時間 | 月 | 火 | 水 | 木 | 金 | 土 | 日/祝 |
|---|---|---|---|---|---|---|---|
| 9:00〜12:00 | ● | ● | / | ● | ● | ● | / |
| 14:00〜17:00 | ● | ● | / | ● | ● | / | / |
| 14:00〜16:30 | / | / | / | / | / | ● | / |
※休診日:水曜、日曜、祝日








