
矯正歯科について
矯正治療では見た目(出っ歯、受け口、八重歯など)を改善するだけでなく、かみ合わせを改善することを目的としています。歯ならびやかみ合わせが悪いときちんと歯ブラシができなくなったり、顎や一部の歯に負担がかかり、むし歯や歯周病になりやすくなります。
当院のマウスピース矯正の専門サイトはこちら
こんな歯並びでお悩みではありませんか?
骨格や歯の生え方などに問題があり、上下の歯が正常にかみ合わない状態を「不正咬合」と呼びます。
咬合の状態が悪いと身体にもトラブルが起きやすいことも報告されていますので、
以下のような状態が疑われる場合、早めに当院にご相談ください。
-
叢生
(乱ぐい歯)
-
上顎前突
(出っ歯)
-
反対咬合
(受け口)
-
空隙歯列
(すきっ歯)
-
交叉咬合

-
開咬

※現在、当院では全顎的なワイヤー矯正(ブラケット矯正)は行っておりません。
部分的なワイヤー矯正(補綴前や軽度の歯列不正に対するもの)は対応しております。
当院では、顔貌バランスや見た目の調和を重視した矯正治療に力を入れており、
全顎的な矯正治療は、マウスピース型矯正装置(アライナー矯正)で行っております。
当院での矯正治療
矯正治療で大切なことは「適切な時期に、適切な処置を行うこと」です。
当院では、年齢に合った方法で、歯科矯正治療を進め、患者さんの口腔環境の改善に努めます。
また、症例に応じて矯正専門医をご紹介いたします。
永久歯(中高生〜大人)の
矯正
(マウスピース型装置による矯正)

大人になってから行う歯列矯正は、審美的面での改善と咬み合わせの改善が大きな目的となります。咬み合わせには、『良い咬み合わせ(正常咬合)』と、『悪い咬み合わせ(不正咬合)』があります。良いかみ合わせは、上下の前歯の真ん中が合っていて、1本の歯が2本の歯と咬み合い、顎(顎関節)が安定している位置で歯列が咬み合っている歯ならびです。
当院ではDSD(デジタルスマイルデザイン)を用いて、顔の位置から理想的な前歯の位置を設定し、上下の歯列が顎の安定する位置と調和した歯ならびが再現できるよう、アライナー(マウスピース型矯正装置:インビザライン)による矯正治療を行っております。
*日本ではマウスピースという言葉が一般的に使われていますが、海外では「マウスピース」という用語はスポーツ選手などが歯を保護するために装着する装置のことを指しています。通常マウスピース矯正は、歯を並べる(アライメント)という意味からアライナー矯正と呼ばれています。
インビザラインで快適に正しい歯並びを

口腔内スキャナー(iTero)について

従来、歯の型を取る際は印象材を口に入れる必要があり、患者さんにとって嘔吐反射や異物を口に入れる不快感がありました。
そこで、当院はスキャナーでお口の中の3Dデータを取得する方法を採用しています。スキャナーであれば非接触なので不快感が少なく、作業時間も短いので患者さんの身体的負担を軽減できます。
インビザラインの特徴
-
1
透明なので周囲に気付かれにくい
通常のワイヤー矯正と違い、アライナー(薄い透明のマウスピース)を使用するため、見た目はつけているのがほとんどわかりません。
-
2
違和感が少ない
矯正装置がとても薄いため、従来の矯正装置と比べて装着時の不快感・違和感がありません。また従来の矯正装置のような粘膜や舌へあたる痛みやそれによる口内炎が生じることはありません。
-
3
取り外しができて衛生的
アライナーは取り外しができるため、歯磨きやフロスも普段通り行えます。 ワイヤーの矯正装置のように装置にプラークが沈着することがないため、歯や歯周組織を健康に保てます。 またアライナーは歯ブラシで簡単に洗浄ができ、1,2週間で次の新しいものと交換するため、清潔に保つことができます。
-
4
金属アレルギーの心配がない
マウスピース型矯正装置はプラスティック製のため、金属アレルギーを引き起こす心配がありません。重篤な金属アレルギーの方でも安心して矯正治療を受けることができます。
-
5
治療計画がわかりやすい
クリンチェックが表示する3Dシミュレーション動画を通じ、計画された歯の移動をわかりやすく確認することができます。
他のマウスピース矯正との違い
インビザラインは、歯科矯正の理論と独自の3次元画像化技術やCAD/CAM(光造形)などの最先端の技術を融合させることによって、誤差のない正確なマウスピース型矯正装置を製作することができます。また、アライナー(マウスピース)の新素材「SmartTrack(スマートトラック)」は、他のアライナー素材と比べて質が高く、歯をより正確に移動させることができ、装着感や審美性にも優れています。
マウスピース矯正の治療の流れ
-
Step01初診カウンセリング:所要時間/30分程度

初診相談専門のスタッフがお口のお悩みを伺います。現在の歯並びにどんな不調を感じられているのか、またどんな歯並びを希望されているのかなど、どんなことでもお聞かせください。治療のメリットや注意点、必要となる処置、矯正治療の期間や費用のお支払方法など、資料をお見せしながら分かりやすくご説明いたします。また、お口の中の情報が何もない状態では、患者様一人ひとりの状況に合わせたご説明を行うのが難しいため、当院では無料カウンセリングの範囲内で口腔内診査を行っております。必要に応じてレントゲンを撮影した場合は、保険診療費(3,000円程度)をいただきます。矯正治療を希望される方には、精密検査のご予約をお取りいたします。
-
Step02精密検査

治療をご希望いただいた場合は 一人ひとりに合わせた治療方針を決定するため、精密検査を行います。写真撮影(顔面・口腔内)・レントゲン検査(パノラマX線写真・頭部X線規格写真・歯科用CT)および分顎関節の検査など必要に応じて詳しく検査いたします。
また口腔内スキャナー(新型iTeroエレメント5Dプラス)を利用して、歯型のデータをとります。
*むし歯や歯周病などの治療が必要な方はそれらの治療後に精密検査を行います。 -
Step03治療計画のご案内
精密検査の結果を元に、患者さんのご希望を反映した治療計画をシュミレーション画像をご覧いただきながら説明いたします。治療計画への同意と治療費用のお支払い後に装置を発注します。発注から約2週間でアライナー(マウスピース型矯正装置)が到着します。
クリンチェック動画:上下顎前突(出っ歯)を抜歯せず矯正を行うシュミレーションです。CT画像や顔写真などの様々な情報から顔貌と上の前歯の位置がマッチする治療計画を立てていきます。 -
Step04治療開始

装置の着脱方法や取り扱い方法、矯正治療中の歯のケアなどについてご説明し、初期段階で必要な装置をお渡しします。それをご自分で1〜2週間ごとに交換していただきます。基本はアライナー単独ではなく、必要な歯に「アタッチメント」という突起を接着し、歯の移動がより正確に進むよう調整します。
また、補助的に上下顎の間にゴムをかけていただいたり、TAD(矯正用アンカースクリュー)を口腔内に埋入する場合があります。
装置は1日20時間以上装着が必要です。食事や歯磨きのとき以外はつけるようにしましょう。
装着後は1~2か月に1回の頻度でご来院いただき、アライナーの適合性や歯並びの状態、お口の健康状態などをチェックします。 -
Step05保定・メインテナンス

矯正治療後は、歯並びが元に戻らないように保定を行います。
矯正直後の歯は不安定で元の位置に戻ろうとするため、歯が周りの組織に馴染むまで保定が必要となります。後戻りを防ぐための装置を保定装置(リテーナー)と呼び、ワイヤーやマウスピースなどを使用して保定を行います。
通常、矯正治療を行った期間と同じ期間、保定が必要になります。また、歯並びのチェックと健康な口腔内を維持するために定期的なメインテナンスを行っていきます。
インビザラインの注意点
- 自費診療になるため、保険診療に比べ費用がかかります。
- 1日に20時間以上の装着が必要です。
- 口腔内の状況に応じて、補助矯正器具が必要になる場合があります。
- 装着時間や経過観察を正しく行えない場合、良好な治療結果が得られない・治療期間が延長する場合があります。
- 治療後は、後戻りを防ぐために保定装置(リテーナー)の装着が必要です。
未承認機器・医薬品の限定解除
- 医薬品医療機器等法上の承認
- 未承認
- 入手経路
- 個人輸入(医師がアラインテクノロジー社へ個人依頼)
- 同一成分や性能を有する他の国内承認の医薬品の有無
- 無し
- 諸外国における安全性等の情報
- FDA認可あり。日本国内では医療機器としての矯正装置に該当しませんが、使われている素材は日本国内で薬事承認されています。国内公式サイト:invisalign.co.jp
光加速装置(オルソパルス)を使ったスピード矯正

オルソパルスは、歯の移動を促進する矯正治療の補助的装置です。基本的な矯正はマウスピースなどによって行いますが、オルソパルスによって特定の波長の赤外線を照射することで歯が移動しやすくなります。1日に10分間装着するだけなので使用方法も簡単で、矯正治療の期間を短くすることができます。
光加速装置(オルソパルス)の3つの特徴
- Point.01治療期間の短縮
- マウスピース矯正装置は通常1~2週間ごとに交換しますが、オルソパルスを使用することでサイクルを4~5日に短縮できます。結果として治療期間が半分程度にできる症例もあり、患者さんの負担軽減に役立ちます。
- Point.02不快感や痛みの緩和
- マウスピース矯正は、他の矯正方法より比較的痛みが少ないことをメリットとしています。実はオルソパルスを使うことで歯が移動しやすい状態になるので、さらに痛みや違和感を軽減することができます。
- Point.03常に清潔なマウスピースを使用できる
- オルソパルスを使用すると、赤外線の作用で歯の移動を効率化することができます。そのため、マウスピースの交換サイクルを早めることができるので、衛生面でも大きなメリットがあります。
光加速装置(オルソパルス)の注意点
- 自費診療になるため、保険診療に比べ費用がかかります。
- 毎日の装着を怠ったり、1日に決められた装着時間を守らないと、良好な治療結果を得られないことがあります。
マウスピース矯正のよくある質問
- Q
治療期間はどのくらいかかりますか?
-
治療期間に関しては個人差があり、矯正医の治療方針や治療計画によっても異なります。歯を移動させる量が少ないケースであれば数か月で終わる事もありますが、複雑なケースでは2年以上かかる事もあります。平均的な治療期間は約2年といわれています。当院の加速矯正装置(オルソパルス)を使用すれば期間を更に半分に短縮することができますので、ご希望のある方はご相談ください。
- Q
虫歯があっても矯正できますか?
-
症状や進行度合いによって判断しますので一概には言えませんが、ある程度進行しているむし歯や歯周病があれば治療を優先することが多いです。詳細は患者さんの状態を診て、相談しながら進めます。
- Q
歯周病なのですが、矯正できますか?
-
歯周病の方でも矯正治療はできます。歯周病の方の大半は歯の歯列の位置異常が見られます。歯周病だけ治すよりも、歯ならびや咬み合わせを整えておいたほうが、メインテナンスしやすく、歯周病の予防の点においても有効です。当院では歯周病専門の医療機関であるため、まず歯周病の治療をしっかり行い、矯正治療できる環境を整備します。アライナー(マウスピース)矯正はワイヤー矯正と比べて歯にかかる力が少ないので、歯周病のような揺れている歯を動かす際も有効な矯正治療法と言えます。
- Q
歯を抜かないと矯正できないと言われたのですが、抜かずに矯正できますか?
-
ワイヤー矯正は、奥歯を後方に動かすことに向いていないので、歯を整列させるスペースを作るための抜歯を伴う症例が多くなります。一方、マウスピース矯正は奥歯も動かすことができるので、抜歯をしなくても矯正ができる率は上がります。とはいえ、歯列の状態は患者さんごとに変わるので、細かいことは診断してみなければわかりません。当院では、抜歯をする場合としない場合のシミュレーションを提示することで、患者さんに選択していただくことも可能です。
- Q
矯正治療に痛みはありますか?
-
痛みが全くないわけではありませんが、ほとんどありません。マウスピース矯正は1枚のアライナーで動く量は0.25mmとごくわずかです。これは歯根の周りにある歯根膜の厚みに相当します。歯根膜は歯を動かすために重要な役割を担っていますが、マウスピースによる矯正は歯根膜にダメージを与えない範囲の移動量になりますので、従来のワイヤーによる矯正よりも、痛みは少ないと言えます。大体の方が違和感を感じる程度で、半日ほどで落ち着くことが多いです。
- Q
矯正治療中に食事の制限はありますか?
-
マウスピース矯正ではアライナー(マウスピース)を外して食事できるため、食事の制限は特にありません。 歯の咬み合わせが一時的に特定の歯に集中する場合がありますが、通常の矯正治療(ワイヤー)を使用したものより、食べ物が挟まったり、金属を使用しないため、食事が食べにくくなることもほとんどありません。
- Q
費用を分割払いにすることはできますか
-
クレジットカードによる分割やデンタルローンなどに対応しております。デンタルローンであれば月々1万円程度で矯正治療を行うことが可能です。金利も低く、負担を少なく始めることができるのでお勧めしております。
小児矯正(混合歯列期)
小児矯正を行う時期と、時期に合わせた治療方法
1期治療(成長期の治療)
1期治療は混合歯列期(乳歯と永久歯が混在している時期)に行います。顎骨の成長を利用することで、上下顎骨の前後的な位置関係を改善したり、顎骨の成長を誘導し永久歯が生え替わるためのスペースを確保していきます。「1本1本の歯並びを整える治療」というよりも、顎のバランスを整える「土台作り」が中心となります。これは顎の骨が成長する時期にしか行うことができないため、治療時期が限られています。時期を逃すと顎骨の前後的な不調和を改善することは難しくなります。

この時期はマウスピース矯正(インビザライン・ファースト)と機能的矯正装置を中心に矯正治療を行っていきます。また必要に応じて可撤式床装置や顎外固定装置などを使用します。この時期は舌などの口腔周囲筋を正しい位置へ導くことも重要です。そのため、悪習癖などを改善するMFT(筋機能療法)を合わせて行っていきます。1期治療は、子どもの成長発育を利用した多角的なアプローチが大切であると考えています。
治療期間:約1年半〜2年
通院間隔:約2ヶ月に1回
2期治療(仕上げの治療)
2期治療は永久歯が生え揃ってから行う治療です。歯をきれいに並べたり、咬みあわせを整える仕上げの治療となります。
1期治療により、顎骨や歯が生えるスペースの問題が改善されているため、2期治療が短期間で済むことが多くなります。
(あくまでも目安です。個人差があります。)

この時期はマウスピース矯正(インビザライン・ティーン)を中心に矯正治療を行っていきます。また、必要に応じて上下顎に顎間ゴムやTAD(矯正用アンカースクリュー)を補助的に使用します。1期治療で行ったMFT(筋機能療法)も継続して行っていきます。
治療期間:約2年
通院間隔:約2ヶ月に1回
小児矯正のメリット〜小学生のお子様がいらっしゃる保護者のみなさまへ〜
- 矯正完了時の仕上がり、安定が良くなる
早めに矯正をはじめると顎骨のコントロールができるため、より安定した仕上がりになります。
生えてくる歯を誘導するだけでなく、口腔周囲筋のバランスを整え、適切な咬み合わせに導きます。 - 顎の成長を正常な状態に近づける
成長期に歯列不正を放置することにより、顎骨の適切な成長を妨げてしまうことがあります。
顎が成長しきっていない時期に顎骨の位置関係を改善することによって、バランスのとれた顎へと導きます。 - 永久歯の抜歯の可能性が減る
顎の成長のコントロールと歯の生えるスペースを確保することにより、抜歯せずに治療できる場合があります。
永久歯列になってからの矯正で2~4本程度の抜歯が必要になる場合でも、小児矯正により抜歯をしなくて済む場合があります。 - 将来、歯並びに対するコンプレックスがなくなる
お子様が将来自分の歯並びにコンプレックスを抱かないような環境作りをおくことも、お子様の心身の成長にとって大切なことだと考えます。
小児矯正により将来のコンプレックスを解消し、お子様の健全な心の発達に繋げることができます。
小児矯正の主な種類
※当院ではこれまで1期治療を床矯正、2期治療をワイヤー矯正をメインに矯正治療を行ってまいりましたが、治療中の審美性や治療期間、通院回数などの問題を考慮し、2022年よりデジタル技術を応用したアライナー矯正(マウスピース型矯正装置)をメインに矯正治療を行っていくことになりました。
床矯正
床矯正は、顎の骨の発育が活発な「7〜10歳」くらいの子どもが対象となる矯正治療です。
-
Meritメリット
- 顎の大きさを広げたり、上下の顎の位置関係を整えたりすることができる
- 装置を取り外すことができるので、お手入れが簡単
- 痛みなど、本人の負担が少ない
-
Demeritデメリット
- 装置を取り外せる反面、自分で装着時間を管理しなければならない
- 治療期間が長くなることがある
- 違和感や異物感がある場合がある
- 装置を維持するワイヤーなどが目立つ場合がある
- 約1ヶ月に1回の来院が必要
ワイヤー矯正(2期治療)
-
Meritメリット
- 適用できる症例の幅が広い
- 歯の移動速度がマウスピース矯正に比べて速い
- 細かい調整ができる
- 取り外しの必要がない
-
Demeritデメリット
- 痛みを感じることがある
- 矯正装置が目立ちやすい
- 装置が外れてたり粘膜を傷つけ痛みを感じることがある
- 歯磨きがしにくくなる
アライナー矯正(マウスピース型矯正装置)
-
Meritメリット
- 顎の大きさを広げたり、歯のねじれや隙間などの歯の位置を修正できる
- 装置を取り外すことができるので、お手入れが簡単
- 痛みなど、本人の負担が少ない
- 装着しているのが判らないほど装置が目立たない
-
Demeritデメリット
- 装置を取り外せる反面、自分で装着時間を管理しなければならない(20時間以上の装着が必要)
- 顎間ゴムやTAD(矯正用アンカースクリュー)などの補助的な装置が必要になる場合がある
筋機能療法(MFT:Myofunctional Therapy)
成長過程の段階で、筋機能が十分に発達せず、歯並びや咬み合わせに問題がみられる場合、筋機能を本来の状態に戻そうと働きかける訓練のことを筋機能療法(MFT)と言います。食べる(咀嚼)、飲む(嚥下)、発音、呼吸、舌の位置、口唇の位置などの改善を目的とした各種トレーニングを行うことにより、口腔周囲筋のバランスを整える療法です。矯正とMFTを平行していくことで、矯正治療の効果を促進します。
-
Meritメリット
- 正しい咀嚼や嚥下、発音などが身につく
- 舌の位置を正すため、治療が進みやすくなる
- 矯正治療を終えた後の後戻り防止にも役立つ
-
Demeritデメリット
- ご自宅で毎日行う必要がある
- トレーニングが多岐にわたる
※筋機能療法と合わせて1期治療では機能的矯正装置を使用していただく場合がございます
機能的矯正装置:プレオルソ
部分矯正(MTM:Minor Tooth Movement)

1歯〜数歯の部分的な矯正治療(歯の移動)です。大きなむし歯で保存が困難な場合や、歯が傾斜などにより、かみ合わせに問題がある場合等、最小限の治療で歯の保存や、かみ合わせの改善が可能になります。
当院で行う部分矯正(MTM)
挺出処置(エクストルージョン)
歯肉の下になっている根を、歯肉の上に引っ張り上げる治療法です。
-
Meritメリット
- 抜歯することなくむし歯治療ができる
- 歯に土台をしっかりと接着することができる
-
Demeritデメリット
- 自費診療になるため、保険診療に比べ多少の費用がかかる
- 歯根の状態によっては抜歯が必要になる場合がある
- 歯を引き上げた後に麻酔下で余分な歯ぐきを整える治療が必要になる
アップライト
バネの弾力により倒れている歯を起こす治療です。インプラントやブリッジにより噛み合わせを回復することが可能となります。
-
Meritメリット
- 倒れた歯が起き上がり、咬み合わせが安定するため、歯の寿命が伸びる
- プラークコントロールしやすい環境にすることができる
- 歯が欠損した部分に適切なスペースを確保することができる
-
Demeritデメリット
- 自費診療になるため、保険診療に比べ多少の費用がかかる
- 矯正装置が頬などの粘膜に当たり痛む場合がある
矯正用アンカースクリュー
直径1~2㎜、長さ6~10㎜の小さなネジを骨に埋め込み、歯を移動させる治療方法です。
単独で用いるよりも他の方法と組み合わせて使用します。
-
Meritメリット
- 困難な移動方向への対応が可能
- 動かさない歯に負担がかからない
-
Demeritデメリット
- 自費診療になるため、保険診療に比べ多少の費用がかかる
- 脱落した場合は再埋入を行うことがある
- 装置が頬などの粘膜に当たり痛む場合がある
レベリング
歯並びがガタガタとしている、叢生(乱ぐい歯)と呼ばれる歯並びを治すための治療です。
-
Meritメリット
- 矯正部位にもよるが、比較的治療期間が早く済む
- 歯列からはみ出た歯の位置やねじれが改善し、見た目だけでなく咬み合わせも安定する
- プラークコントロールしやすい環境にすることができる
-
Demeritデメリット
- 自費診療になるため、保険診療に比べ費用がかかる
- 治療中は歯磨きがしにくくなる
- 装置が唇や頬などの粘膜に当たり痛む場合がある
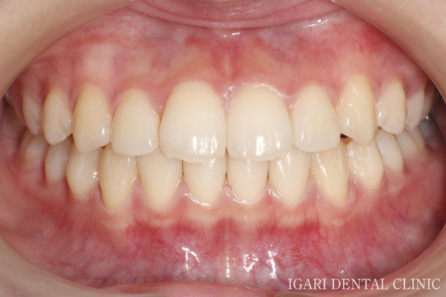
矯正歯科の症例紹介
矯正歯科
形状記憶アライナー(グラフィーアライナー)を用いたマウスピース矯正治療
-

Before
-

After
| 症状 | 前歯の曲がりと重なりが気になる |
|---|---|
| 年齢・性別 | 17歳 女性 |
| 治療期間 | 約10か月 |
| 治療方法 | マウスピース型矯正装置(形状記憶アライナー)による矯正治療 |
| 費用 | 840,000円(税込924,000円) ※別途、精密検査料・調整料がかかります。 |
| メリット | ・透明で目立ちにくい。 ・取り外しができ、歯みがきがしやすく衛生的に保ちやすい。 ・症例によっては、アタッチメントを使用しない(または少ない)治療が可能な場合がある。 ・デジタル診断・計画に基づき治療を進められる。 |
| デメリット・注意点 | ・1日20〜22時間の装着が必要です(装着時間が不足すると、計画どおりに進みにくくなることがあります)。 ・原則として1週間ごとに新しい装置に交換します。 ・歯ぎしり・噛みしめが強い場合など、装置が欠けたり割れたりすることがあります。 |

歯周組織再生療法で歯を残す
歯周組織再生療法とは、歯周病が進行し破壊された歯を支える骨などを再生材料(細胞を増やす成長因子、人工骨、コラーゲン膜など)を用いて再生させる治療法です。当院では歯周病専門医としてできるだけ天然の歯を残す治療にこだわっています。お悩みの方は気軽に当院までご相談ください。
歯周組織再生療法- マウスピース矯正はワイヤー矯正と比べて痛みは少ないですか?
- はい、マウスピース矯正はワイヤーを使用しないため、口内の痛みや違和感がにくいのが特徴です。透明で目立たず、快適に装着できるため、多くの患者様に選ばれています。
- マウスピース矯正は誰でも受けられますか?
- 基本的に健康な方であればマウスピース矯正は可能ですが、歯の動きや噛み合わせによっては制限があります。初回のカウンセリングで歯並びや口腔内を確認し、矯正が可能かどうかを詳しく説明します。
- 矯正期間はどのくらいかかりますか?
- 歯の動きや矯正範囲によって異なりますが、一般的には6か月~2年程度です。マウスピースは取り外し可能なので、生活や食事の負担を少なくしながら矯正できます。定期的なチェックで進行状況を確認します。
- 食事中はマウスピースを外す必要がありますか?
- はい、食事中は必ずマウスピースを外してください。歯磨きをした後に再装着することで、装置の汚れや歯のトラブルを防げます。使用方法や注意点についても初回のカウンセリングで詳しく説明します。
- マウスピースを長時間装着できない日があるとどうなりますか?
- 使用時間が不足すると、計画通りに歯が動かず矯正期間が延びる可能性があります。1日20時間前後の装着が目安です。矯正中の生活負担や装着方法についても、電話やカウンセリングで気軽に相談できます。
- 矯正前にシミュレーションは受けられますか?
- はい、当院では治療開始前に3Dシミュレーションを実施しています。
最新のスキャナーを用いて歯型を正確に取り込み、治療後の歯並びや噛み合わせの変化を視覚的に確認していただけます。
当院のシミュレーションの大きな特徴は、お顔と連動させた分析を行っている点です。
一般的なワイヤー矯正やマウスピース矯正では、歯並びのデータとお顔のデータを組み合わせ て分析することができませんでした。
当院ではこの課題を改善するため、歯列の3Dデータに加えてお顔の3Dデータも撮影し、矯正用CADソフトを活用しています。
そのうえで、予測実現性の高い「患者さんのお顔に調和した歯列」を治療のゴールとして、シミュレーションを作製しております。
シミュレーション結果はカウンセリング時に詳しくご説明し、不安や疑問にも丁寧にお答えいたします。



