カテゴリー:
矯正歯科
形状記憶アライナー(グラフィーアライナー)を用いたマウスピース矯正治療
-

Before
-

After
症例情報
| 症状 | 前歯の曲がりと重なりが気になる |
|---|---|
| 年齢・性別 | 17歳 女性 |
| 治療期間 | 約10か月 |
| 治療方法 | マウスピース型矯正装置(形状記憶アライナー)による矯正治療 |
| 費用 | 840,000円(税込924,000円) ※別途、精密検査料・調整料がかかります。 |
| メリット | ・透明で目立ちにくい。 ・取り外しができ、歯みがきがしやすく衛生的に保ちやすい。 ・症例によっては、アタッチメントを使用しない(または少ない)治療が可能な場合がある。 ・デジタル診断・計画に基づき治療を進められる。 |
| デメリット・注意点 | ・1日20〜22時間の装着が必要です(装着時間が不足すると、計画どおりに進みにくくなることがあります)。 ・原則として1週間ごとに新しい装置に交換します。 ・歯ぎしり・噛みしめが強い場合など、装置が欠けたり割れたりすることがあります。 |
症例紹介
-

治療後右側
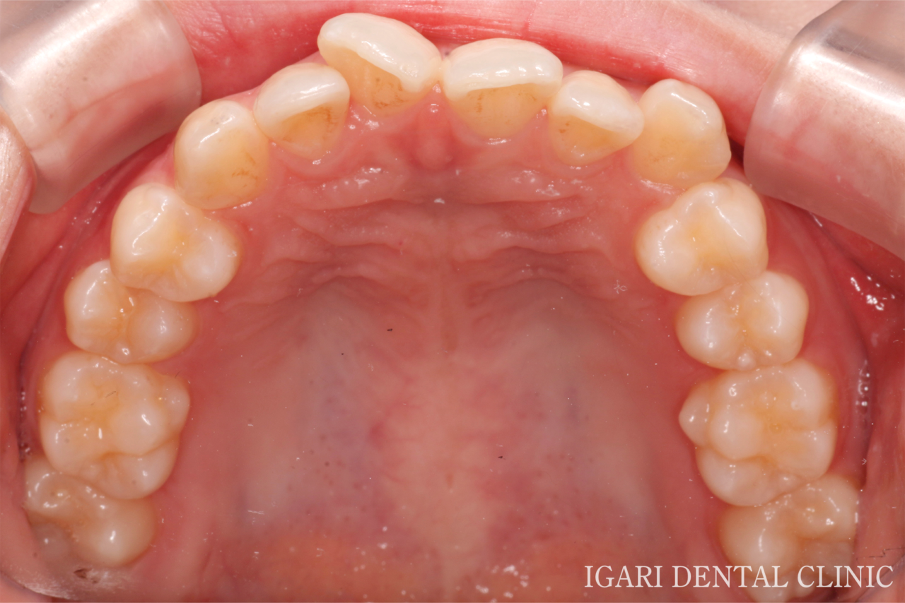
真ん中右上の歯がねじれながら傾いて生えており(翼状捻転)、上下の前歯に重なり(叢生)がみられました。
また、左側の犬歯が低い位置にあり、いわゆる八重歯の状態でした。 -

治療後左側
-

治療前上顎
-

治療前下顎
-

初診時
-

治療計画
歯並びの3Dデータに加え、CTによる顎骨の3Dデータ、顔貌のデータ(3Dまたは2D)を矯正用CADソフトで統合・分析し、
横顔や口元のバランスも考慮した、顔貌と調和する治療計画を立案します。 -

アライナー(マウスピース)装着時
透明なマウスピース型装置のため、ワイヤー矯正に比べて目立ちにくく、取り外しができるので歯みがきやお食事がしやすいのが特徴です。
当院のアライナー矯正では、症例によってはアタッチメント(歯を動かす補助として歯に付ける小さな突起)を使用せずに治療できる場合があります。
アタッチメントが少ない(またはない)ことで、見た目の負担が軽く、清掃もしやすくなります。
形状記憶アライナーは、装着しやすい特性があり、着脱時の違和感や痛みが少ない傾向があります(感じ方には個人差があります)。
-

治療後右側
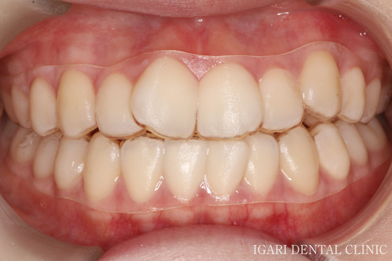
前歯の歯並びだけでなく、お口全体の歯並びと噛み合わせのバランスも整いました。
本症例ではアタッチメントを使用せずに治療を進めたため、歯の表面の見た目への影響が少なく、スマイル時の歯並びも自然に整いました。 -

治療後左側
-

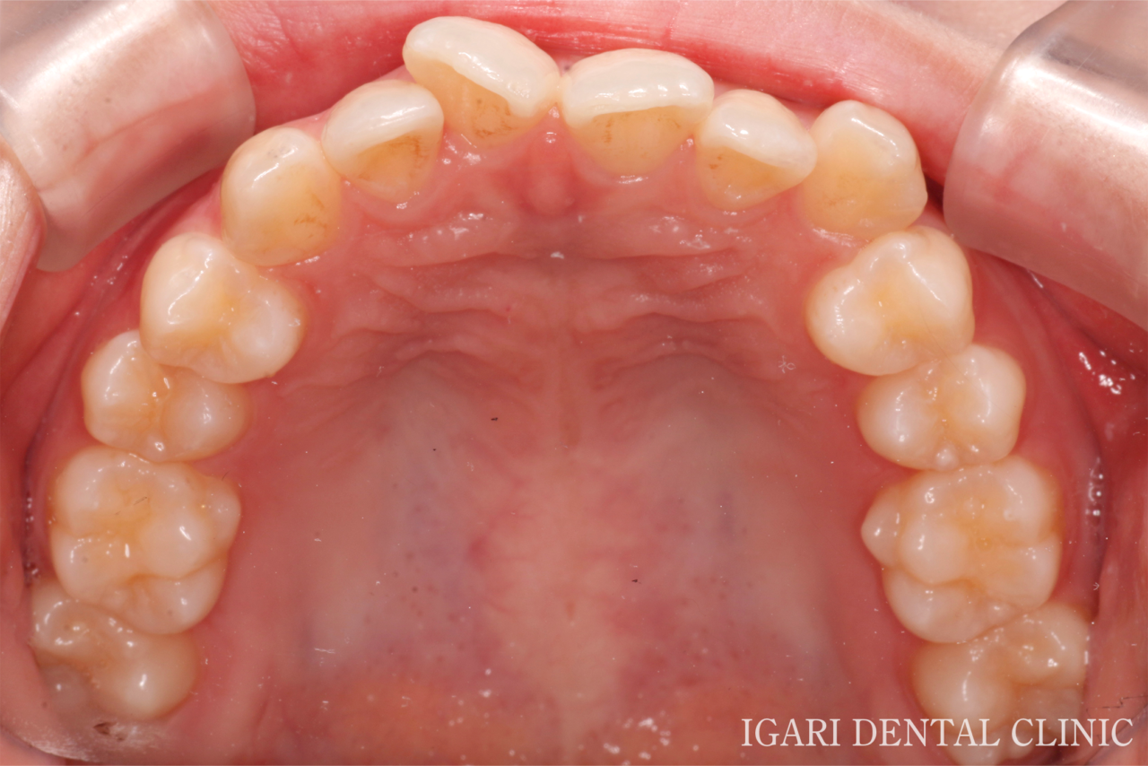
治療後上顎
-

治療前下顎
-

治療後

